Autor: Jimmy Tintín Gómez*
Introducción
Los tratamientos estéticos en la actualidad son cada vez más conservadores y tratan de desgastar lo menos posible la estructura dental. Este esquema se ve favorecido por los materiales y técnicas fundamentados en la cerámica sin metal. Diversos autores1-2 han revisado este aspecto y consideran que estos materiales son adecuados y confiables en la aplicación clínica3. Esta información ha sido importante por cuanto ha permitido realizar tratamientos con carillas dentales de forma segura y eficaz para solucionar problemas estéticos en los pacientes que lo requieren.
Se calcula que alrededor de 100 000 carillas cerámicas al año se elaboran en Inglaterra4. Lo relevante de esto es la alta predictibilidad y su elevado porcentaje de éxito, que oscila en un 99% a los 5 años5 y del 97% a los 15 años6, lo cual nos da la seguridad de ofrecer tratamientos muy satisfactorios en cuanto al resultado estético y a su durabilidad en el tiempo.
Los laminados cerámicos, más conocidos como carillas o veneers, son fragmentos de cerámica que se unen al diente por medio de un sistema adhesivo, previo el grabado ácido al esmalte con ácido ortofosfórico y el acondicionamiento de la cerámica con Silano. A esto se suma la utilización de un cemento de resina de fotopolimerización, que sirve de interface entre los dos elementos (diente -cerámica)7. La primera porcelana en salir al mercado para este tipo de tratamientos conservadores fue Cerinate, la cual es una cerámica feldespática que ha sido estudiada y usada por varios años, tiene una estructura microcristalina, con una distribución uniforme y reforzada con cristales de leucita, lo cual le permite ser fabricada con un espesor de 0.2 mm (lente de contacto).
La evolución de los materiales conllevó al aparecimiento de una nueva cerámica a base de disilicato de litio con mejores propiedades que la feldespática y posteriormente aparecen las cerámicas de bloque para sistemas de CAD – CAM, las cuales primero tenían una presentación monolítica y luego surgen los bloques policromáticos. Muchos ceramistas critican a este tipo de cerámica en bloque, en lo que respecta a la estratificación que permiten las cerámicas tradicionales obtener; sin embargo, el presente caso clínico pretende demostrar que si se puede lograr una alta estética utilizando los laminados cerámicos con tecnología CAD – CAM.
Palabras Clave
Carillas, Estética, cerámica, adhesión, cemento de resina, desgaste
Reporte de caso
Paciente de sexo femenino de 16 años de edad. Estado de salud en buen estado aparente, no refiere padecer ninguna enfermedad sistémica, acude a la consulta de la clínica dental ODONTOCENTER, con motivo de la consulta: “Deseo arreglar mi sonrisa porque no me gusta los dientes de los lados, están medio torcidos”. En cuanto a sus antecedentes dentales refiere estar bajo tratamiento de ortodoncia pero no puede continuar debido a que tiene que participar en un concurso de belleza y solo desea que le corrijan sus dientes laterales mientras dure el concurso de belleza y luego continuar con la ortodoncia. No presenta historia de traumatismos oro-faciales, ni antecedentes familiares de anomalías dentales y en cuanto a sus dientes primarios, estos erupcionaron normalmente dentro de la edad correspondiente.
Examen extraoral
Al examinar extraoralmente la paciente es mesocéfalo, forma de rostro triangular, simetría facial conservada. Para definir la simetría se procedió a estudiar el rostro mediante el uso de líneas de referencia8, luego de lo cual se pudo observar que la paciente presenta una simetría facial, labial y dental. (Figura 1)

Análisis de la sonrisa
Uno de los aspectos fundamentales en la evaluación estética es el análisis de la sonrisa de la paciente para determinar dos aspectos: altura de la sonrisa y curva de la sonrisa8,9. El estudio nos muestra una sonrisa cervical y una curva paralela de la sonrisa. Lo que más destaca es el tamaño de los laterales (12 y 22), que son mas pequeños de lo normal con respecto a los incisivos (11 y 21), considerando que existe una microdoncia y una mala posición de los laterales. (Figura 2)

Análisis de la ficha estética
Este análisis nos permite observar asimetría gingival y dental, producida por los laterales. (Figura 3)

Tratamiento
Luego de los exámenes respectivos, clínicos y radiográficos, se decidió realizar lentes de contacto en las piezas 12 y 22 con el propósito de corregir los defectos estéticos señalados, utilizando el sistema CAD-CAM y realizando una preparación mínima del esmalte. A continuación describimos gráficamente todo el tratamiento:
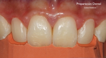
Las piezas 12 y 22 fueron preparadas con desgaste mínimo en función del encerado diagnóstico. (Figura 4)

Piezas 12 y 22, escaneado con Omnicam (CEREC). (Figura 5)

Piezas 12 y 22, lentes estéticos diseñados en CAD-CAM (CEREC). (Figura 6)

Piezas 12 y 22, lentes estéticos en CAD-CAM (CEREC). (Figura 7)

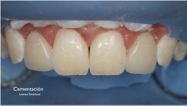
Piezas 12 y 22, lentes estéticos cementados. (Figura 8)

Caso terminado (Figura 9 y 10)


Como se puede ver los laminados cerámicos con tecnología CAD-CAM son altamente estéticos y su resultado es satisfactorio para los pacientes. Además tienen la ventaja que pueden ser elaborados en una sola cita, lo cual le convierte en un método rápido y eficaz con resultados excelentes. En todo caso el profesional tiene libertad para elegir el método mas apropiado.
Referencias
- Morig G. Aesthetic all-ceramic restoration: a philosophyc and clinical review. Pract Proced Aesthet Dent 2003; Suppl:19-26.
- Peumans M, Van Meerbeck B, Lambrechts P, Van Ehrle G. Porcelain Veneers: a review of the literatura. J Dent 2000;28:163-7.
- Cho GC, Donovan TE, Chee WW. Clinical experiences with bonded porcelain laminate veneers. J Calif Dent Assoc 1998;26:121-7.
- Walls AW, Steele JG, Wassell RW. Crowns and other extra- coronal restorations: porcelain laminate veneers. Br Dent J 2002; 193:79-82
- Aristidis GA, Dimitra B. Five year clinical performance of porcelain laminated veneers. Quintessence Int 2002;33:185-9.
- Ascheim KW, Dale B. Odontología Esté Segunda ed. Madrid: Ed. Harcourt, 2002.
- Touati B, Miara P, Nathanson D. Carillas de Porcelana. En: Odontología estética y restauraciones cerá Barcelona: Ed. Masson, 1998.pp 161-213.
- Fradeani Mauro, Barducci Giancarlo, Corrado Marcantonio. Rehabilitación Estética en Prostodoncia Fija. Editorial Quintessence, SL (1):21-268
- Kina Sidney, Bruguera August, Invisible Restauraciones Estéticas Cerámicas. Artes Medicas Dental Press Editora 2007.(2): 31-68
*Acerca del Autor
El doctor Jimmy Tintín Gómez obtuvo su título de Odontología en la Universidad Central del Ecuador (UCE). En la misma institución, se especializó en Rehabilitación Oral y Estética en 1998, y obtuvo un Diplomado Superior en Implantes Dentales en 2006. Es Magister en Gerencia de Servicios de Salud de la Universidad UNIANDES y es docente titular de Cariología y Operatoria Dental en la UCE desde 2000.








