Autor: Dr. Jimmy Tintin Gómez
En la actualidad existe una tendencia a la conservación de la estructura dental, porque los odontólogos hemos comprendido que el mejor material que existe para restaurar un diente afectado por lesiones cariosas y no cariosas, es el mismo diente.
De ahí que la gran mayoría de tratamientos odontológicos buscan agredir cada vez menos a la estructura dental.
El presente artículo trata sobre un caso clínico de una paciente mujer de 21 años de edad que estaba con tratamiento de ortodoncia, pero que, debido a que iba a participar en un reality de canto y baile en la televisión necesitaba mejorar su sonrisa de forma urgente para poder intervenir en el programa televisivo, por cuanto era una de las clasificadas.
Ante esta situación y luego del análisis clínico, establecimos que el tratamiento adecuado para su caso era que continúe con la ortodoncia, por tanto, nuestro plan de tratamiento consistió en mejorar su sonrisa con la reconstrucción del borde incisal en las piezas dentales utilizando resina de composite. Además de otros tratamientos conservadores como el blanqueamiento dental y el recontorneado estético.
De esta forma conservamos al máximo la estructura dental, para que posteriormente, una vez concluido el programa televisivo, pueda retomar su tratamiento ortodóncico y luego pensar en un tratamiento estético con cerámica si el caso ameritaba o mantenerse con los tratamientos realizados.
La paciente no ganó el concurso y por lo tanto regreso al tratamiento de ortodoncia, manteniendo las restauraciones realizadas.

Claves de éxito
- Un adecuado diagnóstico funcional y estético.
- Planificación adecuada y minuciosa mediante encerado diagnóstico o Muck Up y uso de matrices.
- Tratamiento con buenos biomateriales dentales.
Introducción
Este es un tratamiento estético conservador que consiste en la reconstrucción del borde incisal con resina de composite, cuando se ha desgastado o fracturado por diferentes razones.
Dentro de las indicaciones para realizar este tratamiento tenemos:
- Estética.
- Función.
- Fonética.
Por lo tanto la evaluación clínica del paciente debe involucrar estos tres aspectos; es decir, evaluación dentolabial evaluación oclusal y evaluación fonética.
[smartslider3 slider=24]
Una vez evaluado el paciente, es importante realizar exámenes complementarios, dentro de los cuales son Fotografía Clínica, Modelos de Estudio. Diseño Digital de la Sonrisa, Encerado Diagnóstico, Obtención de Matrices de Silicona y Radiografías (periapical y panorámica).
Con todos estos elementos realizamos el diagnóstico definitivo y posteriormente definimos el Plan de Tratamiento.
¿Cómo evaluar?
En estos casos el realizar una buena evaluación, que consiste en descubrir las desarmonías estéticas de la paciente, facilitará el diagnóstico preciso del problema.
Evaluación dentolabial
Esta evaluación consiste en visualizar la relación de los dientes, en especial superiores, con los labios y establecer la presencia de desarmonías. Para entender esto debemos conocer que la sonrisa se evalúa en dos aspectos:
- Altura de la Sonrisa.
- Línea de la Sonrisa.
Altura de la sonrisa
Consiste en la relación que existe entre el labio superior y los dientes superiores al momento de sonreír. Esta puede ser BAJA o INCISAL cuando solo se observa el tercio incisal de los dientes; MEDIA o CERVICAL si muestra el cuello de los dientes o hasta 2mm de encía; y, ALTA o GINGIVAL si el paciente expone más de 2 mm de encía.
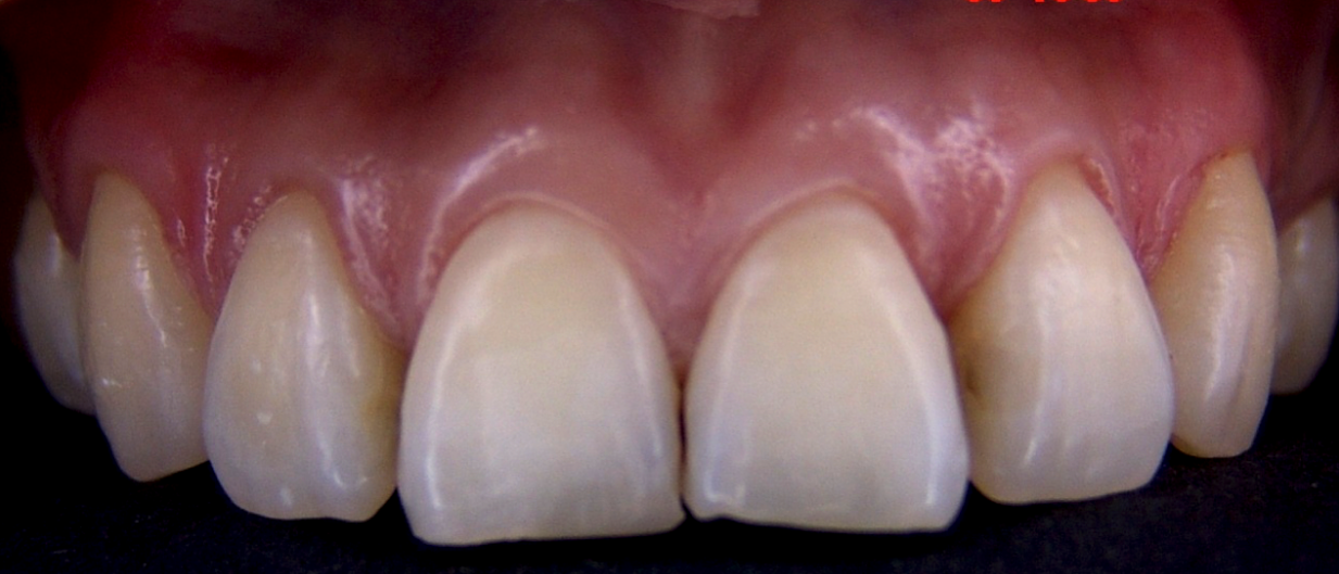
En este caso se puede ver que la paciente presenta una Sonrisa CERVICAL, la cual es favorable en el pronóstico del tratamiento.
Línea de la sonrisa
Es la formada por lo bordes incisales superiores y el borde superior del labio inferior, la cual puede ser de tres tipos: PARALELA cuando los dientes y el labio coinciden formando una línea cóncava o positiva, siendo esta la normal y la más estética; RECTA cuando los dientes forman una línea recta con respecto al labio inferior y que es más frecuente entre los hombres y no es la sonrisa más agradable, pero si puede ser aceptable; y, REVERSA si la línea formada por los dientes superiores es contraria a la concavidad del labio inferior, siendo la sonrisa más antiestética que existe y que debe ser tratada siempre .
En la paciente se observa que la Línea de la Sonrisa corresponde al tipo REVERSA, lo que exige realizar un tratamiento estético restaurador que puede ser de tres formas:
- Reconstrucción borde incisal.
- Lentes de contacto.
- Carillas.
De estos tres tratamientos los Lentes de Contacto son los más conservadores y durables por cuanto no requieren de desgastar al diente remanente, pero como debe ser realizado únicamente en cerámica le convierte en costoso.
La Reconstrucción del Borde incisal con composite es el segundo tratamiento más conservador, ya que, solo debe realizarse un desgaste del borde incisal y su restauración se le realiza con resina de composite, lo cual, le hace un tratamiento económico con respecto a los lentes de contacto; y, más accesible para los pacientes de bajos recursos económicos, como en este caso clínico.
Finalmente las carillas constituyen un tratamiento excelente pero requiere mayor desgaste que los anteriores tratamientos y debe ser considerado cuando se requiere mejorar la estética completa del diente.
Una vez decidido el tratamiento, el siguiente paso es la evaluación oclusal y fonética, las cuales nos ayudan a determinar el aumento de la longitud de los dientes, y posteriormente se realiza el encerado diagnóstico.
La paciente después de esta prueba, mostró la necesidad de aumentar 1 mm aproximadamente los bordes incisales de las piezas dentales 11 y 21 únicamente.
Encerado diagnostico
Este paso es fundamental después de las evaluaciones ya mencionadas, por cuanto, permitirá planificar y ejecutar el plan de tratamiento definitivo, lo que permitirá el éxito del mismo.
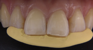
Otra forma de realizar este estudio, es directamente en el paciente mediante la aplicación de resina de composite sin adhesión sobre los dientes afectados, permitiendo valorar el aumento planificado en el paciente de forma muy real y precisa. Este segundo método es muy bueno pero requiere de tiempo clínico adicional, más sus ventajas son excelentes ya que el paciente suele aprobar el tratamiento de inmediato o corregirlo para llegar a un acuerdo.
Se le conoce como Muck Up , y fue el método escogido para este caso clínico, debido a que la paciente no tenía mucho tiempo para regresar a una segunda cita, es decir, que solo podíamos hacerlo en el momento que asistió a nuestra consulta.
Obsérvese el Muck Up realizado en la paciente en las piezas 11 y 21. El resto de dientes se los dejó intactos.
Matriz silicona
Consiste en obtener una impresión en silicona del Muck Up para que sirva de patrón para el tallado del diente y su restauración.
Preparación del diente
Consiste en preparar un bisel de 2mm en vestibular (anterior) en forma de arco y el desgaste del borde incisal que se requiera
En palatino (parte posterior) se prepara un chanfer de 1,2 mm

Restauración
La restauración consiste en formar una capa palatina de esmalte sobre la matriz de silicona, luego se agrega una capa de dentina o cuerpo. Finalmente se cubre con una capa final de composite esmalte.

Una vez restaurado el diente 21 se procede a restaurar la pieza 11, siguiendo el mismo protocolo.
[smartslider3 slider=27]
Acabado y pulido
La durabilidad de las restauraciones va a depender de la forma en que se pula al composite. Es importante realizar el acabado con fresas de carburo tungsteno, y el pulido final con discos Sofflex y puntas siliconadas.
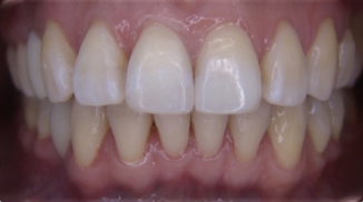
Obsérvese las restauraciones terminadas, prácticamente no se notan cuando se aplica esta técnica.
Caso finalizado en el que se puede comparar el antes y el después del tratamiento, donde se destaca el cambio en la sonrisa de la paciente. Es importante destacar que no siempre se necesita tratamientos costosos para devolver la estética en nuestros pacientes.
[smartslider3 slider=28]
Biografía:
- Odontología Restauradora, Nocchi Conceicao, 2da edición, editorial Medica Panamericana
- Odontología Estética, Marco Antonio Bottino, Editora Artes Medicas Latinoamericana
- Odontología Estética, Aschhein Dale, segunda edición, Ediciones Harcout
- Atlas de Operatoria dental, Eduardo Julio Lanata y colaboradores, editorial Afaomega
- Estética Odontológica, Rielson José Alves Cardoso, editorial Artes Médicas Latinoamerica
Dr. Jimmy Tintin Gómez
Especialista en Estética Dental y Rehabilitación Oral, tiene un Diplomado Superior en Implantes Dentales y es Docente de Cariología y Operatoria Dental en la Universidad Cental del Ecuador.
Quito – Ecuador
















